Grapevine Radiology Associates 

 

64 slice spiral CT
Home Up 64 slice spiral CT 1.5 Tesla short bore MRI Mammography Ultrasound Radiography Screening CT

 

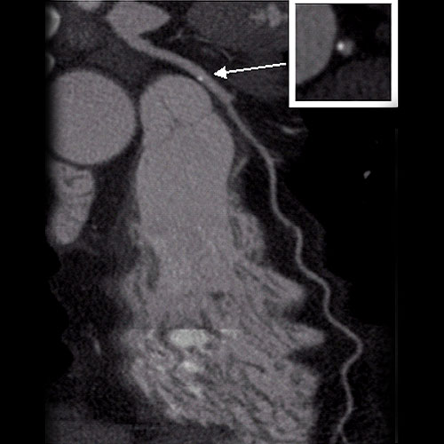
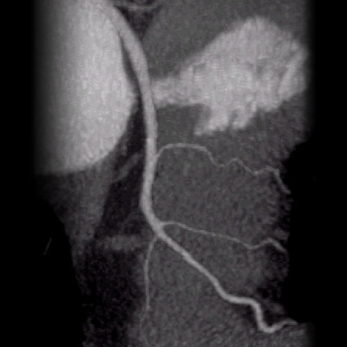
We utilize one of the few 64 slice CT scanners in North Texas that allows non-invasive diagnosis of such conditions as coronary artery disease (heart vessel blockage).  The heart vessels are displayed on our advanced 3D computer workstations where one of our doctors can make a diagnosis in minutes.  This procedure is much safer than cardiac catheterization.
 
All of our latest generation CT machines have multiple detectors and even greater computer speed. Our CT scanners can image a patient with continuous table movement and multiple simultaneous spiral cuts covering the body in a matter of seconds